2025年4月26日,由长沙市教育科学研究院联合长沙市杨群英中学生物名师工作室共同举办的长沙市高中生物学实验教学培训在湖南师大附中顺利开展。本次培训以“强化实验技能,赋能生命教育”为主题,采用“理论精讲+分组实操+案例剖析”的三维模式,旨在通过理论研讨与实操演练,共同探索新课标下实验教学的新路径,促进教-学-评一体化发展,助力学生学科核心素养的培育与提升。本次实验培训汇聚了长沙市生物学科专家、长沙市杨群英中学生物名师工作室成员以及长沙市高中生物骨干教师共计100余人。
       出席本次活动的领导和专家有名师工作室顾问、原长沙市教科院副院长孔春生、工作室名师导师、长沙市教科院生物教研员朱德华、工作室首席名师、长沙市基础教育高中生物学科教研基地校湖南师大附中负责人杨群英、湖南师大附中课程与教学处主任陈淼君、长沙市生物兼职教研员陈佳健、长沙县生物教研员资美丽。
        杨群英老师结合多年教学经验,强调“实验创新是落实学科核心素养的突破口”,呼吁教师从实验设计、实验操作到实验评价进行全流程优化。
       陈淼君主任首先对参加本次实验培训的各位专家和一线教师表示了热烈的欢迎。他强调:“实验教学是生物学科的灵魂,是培养学生科学探究能力的关键环节,湖南师大附中高度重视实验教学的组织与开展,不断优化生物实验室硬件设施,深入开展实验教学研究,取得了许多突破与成果,如湖南师大附中出版的专著《高中生物学实验实施指南》,填补了全国新教材实验研究方面的空白。”
        朱德华老师则从教研角度提出要求:“实验教学需规范与创新并重,教师应成为学生科学思维的引路人。”  
       为了达到更好的培训效果,本次实验培训分为A、B两个班级,培训内容聚焦高中生物学重点实验项目,紧扣新教材与高考要求,涉及分子生物学、微生物学、细胞工程、基因工程等领域。通过理论分析与实操演练,让所有参训教师逐一完成实验操作,并就课堂转化策略展开研讨。 
本次培训的实验项目有:
1. DNA片段的扩增及电泳鉴定:系统学习PCR技术操作与电泳图谱解析,破解实验教学中的技术难点。
2. DNA的粗提取与鉴定:以常见材料为载体,实践提取流程,探讨实验条件优化方案。
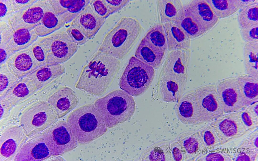
3. 观察根尖分生区细胞有丝分裂:从固定、染色到显微观察,精细化梳理实验步骤与教学要点。
4. 菊花的组织培养:通过无菌操作与愈伤组织诱导,探索生物工程教学实践方法。
5. 微生物的纯培养:掌握平板划线法、稀释涂布平板法、培养基制备等关键技术,规范实验操作标准。
6. 探究抗生素对细菌的选择作用:设计梯度抑菌实验,直观呈现生物进化机制。
       孔春生副院长总结指出:“长沙市是教育部普通高中生物学科教研基地,此次培训是深化教学改革、落实‘强基计划’的重要实践。教师实验能力的提升,直接关系到学生科学素养的培育成效。”多位参训教师反馈,通过沉浸式学习,不仅夯实了实验技能,更拓展了教学设计的创新思路。  
       据悉,长沙市将持续推进实验教学资源共建共享,定期开展专题培训与教学竞赛,为构建高质量中学生物学教学体系提供坚实支撑。 
        当我站在生物实验室的操作台前,手指触碰到微量移液器的塑料外壳时,我才真切体会到"纸上得来终觉浅"的深意。为期一天的实验技能培训,将教科书中抽象的PCR流程、电泳原理、培养基配方化作可操作的实验流程,让我这个离开大学实验室二十多年的生物教师,在超净工作台鼓风机的嗡鸣声中完成了从知识传授者到科研初学者的身份重构。
一、理论之桥架向实践之岸
       培训上午日,培训老师讲解PCR技术原理时,我突然意识到自己过去对"预变性"的讲解多么苍白。当了解到需要根据引物GC含量计算退火温度时,那些原本熟悉的碱基配对原则突然变得立体起来。当看到自己配置的体系在扩增仪中循环时,突然理解了学生面对复杂流程时的忐忑。
       在微生物培养环节,稀释涂布平板法与平板划线法的操作规范给我上了生动一课,边边角角都要涂到又要均匀,划线要留痕又不能划破果冻似的培养基表面。操作时对无处不在的灼烧灭菌不太在意,当培养皿中的杂菌群落对我张牙舞爪时,让我对"无菌操作"四个字有了极其深刻的理解。这种具象化的失败体验,恰恰是教师最需要传递的实验态度。
二、细节处见科学真章
       琼脂糖凝胶制备时的溶解程度把控给了我深刻启示。培训老师反复强调"注意安全"时,我曾不以为意,下午自己倒平板时被烫到才体会到“不听老人言,吃亏在眼前”的真意。这个细节将成为未来课堂上的经典案例,提醒学生实验的操作标准往往是别人的痛苦和教训的总结。
       电泳图谱分析时的"微笑条带",原以为是教材上的标准图示。当自己的DNA样本跑出边缘弯曲的条带时,导师指出可能是电场不均匀或凝胶凝固缺陷所致。这种预期与现实的偏差,恰恰构成了最鲜活的探究素材。我已在构思如何将其转化为"问题导向"探究课,让学生从异常现象中追寻真理。
三、教与学的双向奔赴
       培训中最具启发的瞬间,发生在给凝胶点样时。当我第三次尝试仍无法让颤抖的移液器尖头稳定下来时,旁边的老师示范的"左手帮忙稳定法"让我豁然开朗。这个教学场景让我反思:我们的实验课是否给予了学生足够细腻的动作指导?回校后我计划录制微距教学视频,将一些操作细节等隐性知识显性化。
        此次培训带给我的不仅是技术提升,更是教育视角的迭代。当微量移液器精准吸取1μL液体时,我看到的不仅是移液管尖头中那几乎微不可察的液滴,更是未来课堂上学生们发亮的眼睛。作为生物学教师,我们传授的从来不只是操作步骤,而是用严谨求真的科学精神,在年轻心灵中播撒探索生命奥秘的火种。这段躬身实验的经历,让我更坚定地要做学生科研之路上的点灯人。
        作为一名高中生物教师,我有幸参加了2025年长沙市高中生物学实验教学培训活动。此次培训聚焦实验教学的深化与创新,通过实践操作与专家指导,我对生物学实验教学的核心技能与教学方法有了更深刻的理解,同时也解决了日常教学中的诸多困惑。以下结合具体实验操作,总结我的学习收获与反思。  
一、实验技能培训:从规范操作到细节优化    
       此前在教学中,学生对PCR扩增的原理理解较为抽象,实验结果常因温度控制不当或引物设计问题导致失败。培训中,主讲老师强调了“三步温度循环”的精准控制(变性94℃、退火55℃、延伸72℃),并通过现场演示展示了如何根据目标片段调整退火温度。此外,在琼脂糖凝胶电泳环节,我掌握了精准取样,操作规范,避免了条带弥散问题。同时直观感受了DNA荧光带在电泳中的移动。这些细节优化让我意识到,实验成功的关键不仅在于步骤完整,更在于科学把控。  
        微生物实验的无菌操作一直是教学难点。培训中,老师通过“平板划线和稀释涂布接种手法”等细节示范,让我意识到细微动作的规范性直接影响实验结果。此外,“探究抗生素对细菌的选择作用”实验设计让我深受启发:通过设置梯度浓度抗生素平板,学生能直观观察耐药菌株的演化过程,这可以为课堂渗透“进化与适应”概念提供了生动案例。  
二、实验教学革新:从知识传递到素养培养  
       主讲老师提出“实验即探究”的理念。例如,在“菊花的组织培养”实验中,通过引导思考“植物激素比例如何影响愈伤组织分化”,“不同实验材料不同修剪方法”将实验操作转化为科学探究过程。通过对于每个步骤中出现问题导向进行教学设计,让我们切实体会到教学过程中不仅要激发学生兴趣,还能培养其科学思维与创新能力。  
        此次培训让我深刻体会到,实验教学是培养学生学科素养的核心途径。以往教学中,我过于关注实验结果的正确性,而忽视了操作过程中学生的思维发展。未来,我将从以下方面改进:  
1.细化操作指导:设计分步操作视频与自查清单,帮助学生规范动作;  
2.强化实验探究性:增加开放性实验设计,如“探究不同DNA提取方法的效率”;  
3.跨学科整合:结合化学(电泳缓冲液配制)、数学(数据统计分析)等学科,提升实验的综合性与实用性。  
      本次培训不仅让我掌握了先进的实验技术,更重塑了我对实验教学的理解。生物学实验不应局限于单纯完成实验教学,而应成为学生实践创新、发展科学素养的舞台。感谢名师工作室精心组织,感谢两位主讲老师的专业指导与同行教师的经验分享,我将以此次学习为起点,持续优化实验教学,助力学生在探索中成长,在实践中求真。
        “纸上得来终觉浅,绝知此事要躬行。”此次高中生物实验技能培训,让我们有机会跳出“纸上谈兵”,亲手操作植物组培、PCR、凝胶电泳等。这次培训让我深刻体会到了实验教学的魅力与重要性,同时也感受到了老师科学严谨的教学态度是会感染到学生的。
       培训过程中,实验老师对每一个实验环节都耐心讲解,从实验原理到操作步骤,从仪器使用到注意事项,讲解得清晰透彻。在我们进行实验操作时,老师时刻关注着我们的表现。一旦发现错误操作,老师会立即指出、纠正,让我们清楚地认识到问题所在。这种细致入微的指导,不仅帮助我们避免了实验失误,更让我们学会了如何规范操作,培养了严谨的科学态度。
       在培训结束后,培训老师还在跟进我们的微生物纯培养结果。他不仅关注实验结果的准确性,更注重引导我们分析实验过程中的问题与原因,帮助我们总结经验教训。这让我明白,实验不仅仅是得出一个结论,更是一个发现问题、解决问题、积累经验的过程。
       通过这次培训,我更加坚定了将这些实验引入高中生物教学的决心。我相信,通过此类专业培训的普及以及后续学校的支持,我们的生物实验教学一定能够真正为教学服务,让学生们在实践中提升能力,真正落实科学探究、科学思维等核心素养的培养。
        在本次高中生物实验培训中,我们进行了电泳、PCR和植物组织培养等高中生物核心实验,不仅巩固了理论知识,更锻炼了我的实验操作能力、观察能力和科学思维。
       本次培训收获颇丰,主要有以下几点:
1.理论与实践结合:课本上的知识在实验中变得生动,比如PCR的“指数扩增”原理在电泳结果中得到验证。  
2.严谨的科学态度:生物实验对操作细节要求极高,如微量加样、无菌操作等,培养了我的耐心和细致。  
3.团队协作的重要性:在电泳点样、DNA粗提取等环节,分工合作能提高效率,减少失误。  
4.科学思维的培养:实验过程中,我学会了分析问题并设计对照实验验证猜想。  
5.实验材料的替代:如用花菜替替代教材中的洋葱做DNA粗提取;用花青素替代溴化乙锭(致癌)对核酸染色等。
       由于器材不太全面、实验前期工作量大等原因,我校很少给学生开展这些实验。通过这次学习,我发现很多难以理解的理论知识可以通过实验得到验证,今后尽可能克服困难让学生都能做上这些实验,解决学生理论与实践脱离的问题。
        4月26日,作为长沙市杨群英中学生物名师工作室的成员,我有幸参加了长沙市高中生物学实验教学培训,对于在一线工作了十几年,脱离实验室很多年的我来说无疑是一次非常难得的学习机会。培训的实验有六个,分别是DNA片段的扩增及电泳鉴定、DNA的粗提取与鉴定、观察根尖分生区细胞有丝分裂、菊花的组织培养、微生物的纯培养、探究抗生素对细菌的选择作用,全部是新教材要求开展的实验课程,涉及到分子生物学、微生物学、细胞工程、基因工程等生物技术,也是目前我所在的学校无法开展的实验。虽然我们目前没有条件带领学生开展这些实验,但是经过实验的实操培训,可以让我们教师在讲授实验原理和操作步骤时更有底气和信心,而且通过实际操作,也能深刻感受到实验设计的精巧,实验操作的细节,以及对实验结果的反思与探究,从而在课堂上能够更好的培养学生的科学思维和实验探究能力,而不是简单的介绍实验。
        在进行“菊花的组织培养”这个实验时,我对主讲老师所说的“实验即探究”深有感触,真正的实验并不是对着教材步骤一步步的操作,而是要思考这些步骤背后的原理,如利用植物茎段生根的时候需要注意形态学的上下端,不能倒插,但是如果是诱导其形成愈伤组织则不需要,而是要尽量保证其伤口与培养基接触;如形成愈伤组织、生根、生芽所需要的培养基都是不同的,需要严格注意植物激素的种类和比例,还要根据外界的环境来调整自己的实验时间和过程。让我知道了一个实验是否成功是多方面因素共同的结果,我们在实验的过程中要不断地思考和创新,才能真正的发散思维,培养学生的科学素养。
        在进行“DNA片段的扩增及电泳鉴定”时,我惊叹于科技的进步如此之快,仪器的改良让我们能够更便捷的完成实验,还能更清楚的观察到实验结果,我见识了开放式的PCR仪器,直观的感受到了变性—复性—延伸循环的神奇之处;也亲眼看到了“跑胶”的神奇,见识到了只在教材上才能看到的DNA电泳条带,而主讲老师对电泳结果的分析,又让我重新意识到再精密的仪器也只是我们手上的工具,真正重要的是自己的思维能力和创新能力,以及敢于探索的勇气。
       充实的一天虽然辛苦,但思维是活跃的,内心是满足的,收获更是满满的,非常感谢师大附中的老师和单细胞实验公司的讲师的倾情奉献,未来在实验教学上一定会将今日所学利用起来,注重学生科学思维的培养,提升学生的科学素养!
        本次精心准备的实验培训,让我收获远超预期,深切领悟到其对教学备考的关键服务价值,以及实验教学不可替代的重要意义。
        培训内容精准聚焦高中生物重点实验,紧密贴合新教材与高考要求,如DNA片段扩增及电泳鉴定、微生物纯培养等实验,直接锚定高考考点。这为今后教学备考指明清晰方向,能更有针对性地强化学生实验薄弱环节,提升备考效率与精准度。
        实验教学是生物学科的灵魂,不仅培养学生动手实践能力,更能深化其对理论知识的理解与运用,这在高考实验题解答中尤为关键。实操过程中,规范操作的重要性不言而喻。初始操作时的生涩,在单细胞教育科技讲师专业细致的指导下渐入佳境。这种专业引领不仅提升了我的实验技能,更让我明晰规范操作在教学示范中的深远影响。
        培训讲师的专业与规范令人赞叹。他们对实验原理的深度剖析、对操作细节的严格把控,让我深刻认识到规范实验教学对培育学生科学素养的重要性。未来,我将把所学融入课堂,以更专业的姿态引导学生,强化其实验能力,让实验教学成为学生生物学习的提分亮点,切实服务教学备考,助力学生在知识与实践层面双向提升。
       有幸参与武汉单细胞教育科技有限公司在师大附中为一线高中老师开展的实验培训,这无疑是一段充实且收获满满的学习经历。此次培训离不开多方的支持与付出,特别要感谢附中的老师和实验员,是他们慷慨地为我们提供了场地,精心准备了实验所需的各项物资与设备,为我们呈现了一场知识与实践完美交融的盛宴。在这样专业且完备的实验环境中,我们得以顺利开展各项实验操作,沉浸式投入到学习中,知识与技能得到了双重提升。
        在菊花的组织培养实验中,我深入领会了植物细胞全能性这一抽象概念如何落地为具体操作,从外植体的精细挑选、严格消毒,到培养基的精准配制与接种,每一步都暗藏学问。
        微生物的纯培养实验极大提升了我的无菌操作技能。高压蒸汽灭菌、平板划线法、稀释涂布平板法等操作,让我切实感受到防止杂菌污染在微生物研究中的关键意义。探究抗生素对细菌的选择作用实验,则巧妙串联起微生物培养与自然选择理论,有助于学生更透彻地理解细菌耐药性产生的原理。
        DNA 片段的扩增及电泳鉴定、DNA 的粗提取与鉴定实验颇具挑战性。我见到了完美复刻还原1983年穆利斯发明PCR 技术经典场景的开放式水浴加热变温PCR 仪,还有DNA 粗提取中研磨过滤器重要性也让我印象深刻。这些前沿技术的学习,为我在高中生物教学中开展分子生物学拓展教学筑牢了根基。
        在未来教学里,我会充分运用培训所学,精心设计实验教学环节,同时,我会更加注重实验操作规范的培养,引导学生在实验中养成严谨的科学态度,提升他们分析和解决问题的能力,全面落实生物学科核心素养的培育目标。
        本次参加实验培训让我于精准操作中切身体会科学实证精神。
        微量可调移液器的使用,让我参悟到实验数据的可信度源于对“微末”的极致把控;菊花组织培养中诱导愈伤组织时植物激素配比的精确计算本质是对生命有序性的人工调控;微生物纯培养的实验过程中,超净工作台内的无菌操作、微生物划线接种时接种环角度与划线密度的控制等细节决定着实验的成败;抗生素抑菌实验将达尔文自然选择理论转化为可观测的生物学指标;DNA粗提取实验中,当白色丝状物渐次析出,我看到的不仅是遗传物质的物理形态,更是生物大分子分离技术的精妙应用。
        这次实验培训于我而言,是技术操作与科学思维的双重校准。相信在未来教学中,实验作为重要的一环,将成为培育学生生物学核心素养的沃土。
编辑丨刘美琪  刘冬阳
初审丨工作室第5小组
二审丨名师团队&宣传组
终审丨工作室顾问&首席名师